

永宁县中医医院
导医台:0951-8527889
办公室:0951-8011650
医教科:0951-8527955
戒烟门诊:0951-8021500
24小时值班:0951-2012120
地址:永宁县杨和北街82号
网址:www.ynxzyyy.cn
在医疗救治的无声战场上,精准诊断与高效治疗的协同作战,是守护生命的关键防线。4月17日,我院功能科与妇产科紧密配合,凭借精湛的技术与默契的协作,成功完成永宁县人民医院县城院区接诊以来首例宫外孕并节育器嵌顿的腹腔镜与宫腔镜“双镜联合”手术,以硬核实力为患者健康保驾护航。

初步诊断01
43岁的王女士,因“放环10年,停经43天,腹痛1天”前来我院就诊。妇科检查显示右附件区增粗且压痛阳性,B超提示右附件区存在混合包块,血HCG检测值达3524mIU/ml。面对这一情况,功能科医生立即为其行经阴式超声检查。
精准诊断02
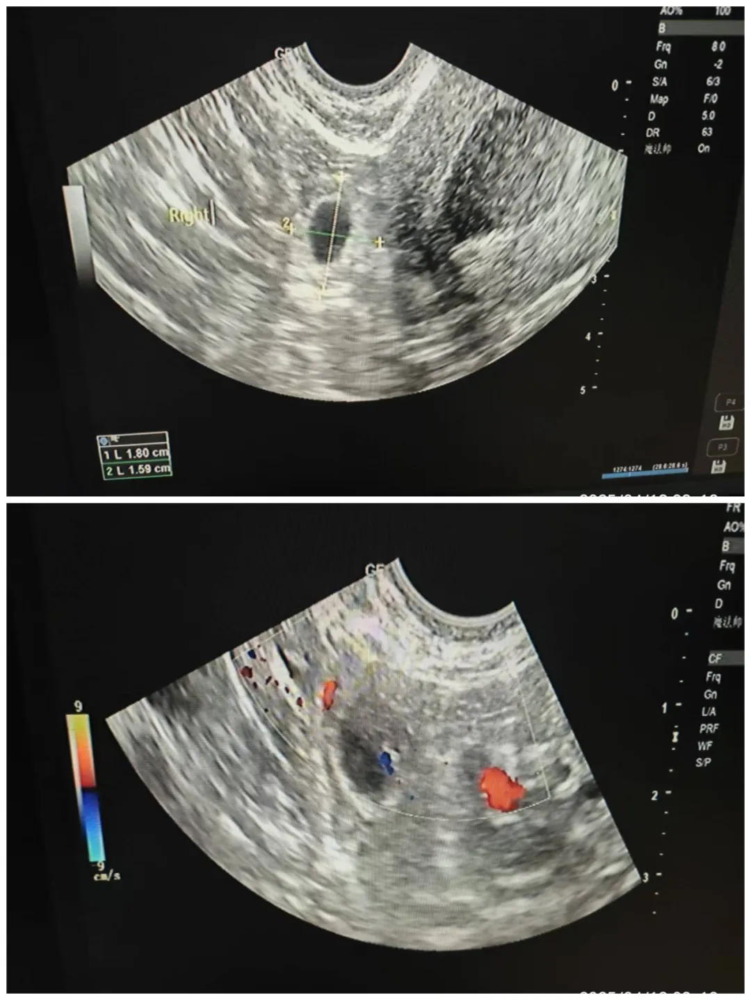
检查过程中,医生们如侦探般抽丝剥茧,在错综复杂的影像中发现关键线索:子宫虽外形饱满、肌层回声均匀,但宫腔内出现约4.3x2.1cm的不规则无回声区域,节育器强回声位置偏移;宫颈处可见直径约0.6cm的囊性结节;而右侧卵巢上方的1.8x1.6cm混合回声包块更是“暗藏玄机”,其中1.5x1.4cm的囊性回声内,卵黄囊、直径约0.3cm的胎芽组织以及心管搏动清晰可见。凭借深厚的专业知识与丰富的临床经验,功能科团队当即做出精准判断——宫外孕(右侧),同时提示宫腔积血合并节育器嵌顿。

这一关键诊断如同点亮了黑暗中的明灯,为后续治疗指明方向。多科室联动机制即刻启动,妇产科迅速响应,积极筹备手术方案。4月17日晚20点,在北京大学第一医院宁夏妇女儿童医院妇科副主任医师李芳的全力支持下,妇产科团队沉着冷静,运用腹腔镜与宫腔镜“双镜联合”技术,有条不紊地开展手术。术中,医生们操作精细,如同在“针尖上跳舞”,既要处理宫外孕病灶,又要安全取出嵌顿的宫内节育器。最终,妇产科手术团队成功开展了县城院区首例宫外孕并节育器嵌顿的腹腔镜与宫腔镜“双镜联合”手术,顺利完成输卵管切除术与宫内节育器取出术,整个过程流畅高效,术中出血极少。当晚22:15,王女士生命体征平稳,安返病房。
此次病例的成功处置,不仅是对患者生命的有力守护,更是我院多学科协作能力与专业技术水平的生动展现。功能科作为临床诊断的“侦察兵”,以敏锐的洞察力和精准的判断能力,在疾病早期诊断中发挥了不可替代的作用,为临床治疗赢得了宝贵的时间窗口;妇产科团队则凭借精湛的手术技艺与丰富的临床经验,成功攻克手术难关,展现了硬核的医疗实力。
一直以来,我院功能科团队始终秉持严谨、专业的工作态度,不断钻研提升诊断技术,用一双双“慧眼”为临床治疗筑牢根基;妇产科团队也持续精进手术技术,积极开展新技术、新项目,为患者带来更优质、更高效的医疗服务。接下来,永宁县人民医院县城院区各科室将继续深化协作,不断提高硬核实力,用专业诊疗彰显医者担当,用百姓口碑印证服务初心,书写更多生命救治的精彩篇章。
0951-8021120